虫歯治療
目次
- 「虫歯治療」ページの目次
虫歯治療について
虫歯とは
歯の表面に付着した細菌が作り出す酸によって歯がとける病気です。
細菌は糖分を栄養源とするため、糖質は虫歯の原因の一つであるが、歯磨きの仕方や、唾液量の不足など、虫歯のリスクを高める要因は多数あります。
初期の段階では自覚症状がないため、自分では気づかないことが多いのが特徴です。
普段の歯磨きをしっかりすることで、虫歯は確実に予防できますので、毎日十分な歯磨きの時間をとる習慣を身に付けましょう。
虫歯ができる原因
- 糖分の多い食生活
- 口腔内細菌の種類・数
- 唾液の分泌量
- 詰め物・被せ物の劣化
- 不十分な歯磨き
- 歯列不正
- 不正咬合
こんな症状が出たら
虫歯の可能性があります
- 歯に痛みがある
- 甘いものがしみる
- 冷たいものがしみる
- 最近原因不明の頭痛がする
- ずっと痛みがあったが、あるとき痛みが収まった
当院の虫歯治療
歯の表面のエナメル質が白濁したり、溝が茶色くなる程度の初期虫歯であれば、削ったりはせずに正しいブラッシングや食生活の改善、フッ素塗布を行い再石灰化を促します。
歯に穴が空いてしまった場合は、虫歯は削り取らなければなりません。しかし一度削った歯は二度と再生しないため、削る量は必要最小限にすることが重要です。当院では虫歯を染める薬液使用し、ルーペを用いて拡大視野で虫歯を削るため、削る量を最小限に抑えます。
痛みに最大限配慮した治療
麻酔を使用する場面は非常に多いです。しかし多くの患者様が麻酔の痛みに悩み、歯科治療に不安を抱いているのが現状です。
当院では表面麻酔を用いて丁寧に麻酔をすることで麻酔時の痛みを軽減いたします。患者様が少しでも安心して治療を受けることができるよう、痛みの少ない治療を心がけております。
虫歯の進行状況
C1:エナメル質内の虫歯
虫歯(C1程度)の歯の断面図です。この段階ではあまり自覚症状がなく、ついつい放っておきがちです。虫歯の部分だけを正確に治療し合成樹脂(レジン)を充填します。治療もすぐに終わるので、早めに歯医者さんに行って治療しましょう。
C2:象牙質に達した虫歯
虫歯(C2程度)の歯の断面図です。痛みや冷たいもの・熱いものがしみるなどの自覚症状がでてきます。この状態を放置すると歯を削らなくてはいけない可能性がありますので、なるべく早めに歯医者さんに診てもらうようにしましょう。
C3:歯髄(神経)に達した虫歯
虫歯(C3程度)の歯の断面図です。細菌感染が象牙質の内側の歯髄(歯の内部の神経)にまで達した状態で相当な痛みを伴います。一刻も早く歯医者さんに行きましょう。
C4:歯質が失われた虫歯
虫歯(C4程度)の歯の断面図です。ここまでくる前に治療にきて欲しかったですが…。歯冠が溶けてなくなり、根の部分のみが残っている状態の虫歯です。歯根まで菌が到達しているので、残念ながら、抜歯をする必要があります。
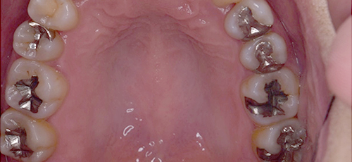
二次虫歯除去の症例
Case.1
銀歯下に潜んだ
虫歯の二次治療



保険治療で虫歯治療後の被せ物・詰め物で使用される銀歯(金銀パラジウム)は、二次虫歯のリスクがあります。原因は多くありますが、劣化などにより詰め物(インレー・アンレー)に隙間が生じ、その隙間に虫歯菌が入り込むことにより、二次虫歯となるケースがあります。
保険適応外(自由診療)のセラミックなどの強度あり、親和性の高い詰め物へ替えるという選択肢や、何よりも早期発見・早期治療が二次虫歯リスクを軽減することが可能ですので、定期検診が一番の予防対策となります。歯医者へは、こまめに通う習慣をつけましょう。
ダイレクトボンディングを
用いた症例
Case.1
ダイレクトボンディング
による銀歯からの修復治療




担当医 | デンタルワンおおたかの森 Dr築根 |
---|---|
治療費用 | ¥33,000 |
治療期間 | 1日 |
治療リスク | 脱離や破折の可能性 |
※表示価格は全て税込価格になります。
Case.2
ダイレクトボンディング
による銀歯からの修復治療


担当医 | デンタルワンおおたかの森 Dr築根 |
---|---|
治療費用 | ¥33,000 |
治療期間 | 1日 |
治療リスク | 脱離や破折の可能性 |
※表示価格は全て税込価格になります。
Case.3
ダイレクトボンディング
による前歯修復治療


担当医 | デンタルワンおおたかの森 Dr築根 |
---|---|
治療費用 | ¥33,000 |
治療期間 | 1日 |
治療リスク | 脱離や破折の可能性 |
※表示価格は全て税込価格になります。
Case.4
ダイレクトボンディング
による銀歯からの修復治療




担当医 | デンタルワンおおたかの森 Dr築根 |
---|---|
治療費用 | 上顎:33,000円×7本 下顎:33,000円×5本 |
治療期間 | 1日 |
治療リスク | 脱離や破折の可能性 |
※表示価格は全て税込価格になります。