ホワイトニング
目次
- 「ホワイトニング」ページの目次
ホワイトニングに
ついて
ホワイトニングとは
ホワイトニングとは、専用の薬剤や光を用いて、歯の表面の色素を分解し、歯をより明るく白くするための治療方法です。
普段の飲食や加齢により黄ばみが出てしまった歯を、自然で健康的な白さへと導きます。
ホワイトニングは「もっと自信を持って笑顔になりたい」「若々しい印象を保ちたい」といった願いを叶える手助けとなり、歯科医院でのプロフェッショナルなケアにより、安心して施術を受けられます。
こんなシーンで利用されます
- 歯に人生最高の日を輝く白い歯で!ブライダルホワイトニング
- 就活中のあなたへ!就職活動、
第一印象の好感度UP! - いつもよりステキな自分を演出、パーティーや同窓会で素敵な
出会い! - 新年度や真夏を迎える前に、
気持ちも一新、素敵な笑顔の
準備!
ホワイトニングのメリット
自信が持てる笑顔
白く明るい歯は清潔感があり、笑顔に自信が持てます。大切な人との会話や、ビジネスシーンでも良い印象を与えることができ、より積極的なコミュニケーションが取れるようになります。
若々しい印象を演出
歯の黄ばみは、老けた印象を与えることがあります。ホワイトニングによって歯が白くなると、顔全体が明るく見え、若々しい印象を保つことができます。
プライベート・仕事での好印象
白い歯は美意識や健康意識が高いという印象を与え、プライベートや仕事での人間関係にも好影響を与えることが期待されます。
ホワイトニングの効果と
持続期間
ホワイトニングの効果は、歯が自然な白さに明るくなることで、笑顔に自信をもたらします。
しかし、ホワイトニング後の白さは永久ではなく、時間の経過とともに少しずつ色戻りが発生します。
一般的に、オフィスホワイトニングの場合は効果が数ヶ月から1年ほど続き、ホームホワイトニングは、継続的に使用することで長期的な白さを維持することが可能です。
効果を長持ちさせるポイント
-
色素の多い飲食物を控える
コーヒー、紅茶、ワイン、カレーなど、色素が濃い飲食物は、歯の着色を進める原因となります。なるべく控えるか、飲んだ後は口をゆすぐよう心がけましょう。
-
喫煙を控える
喫煙も歯の黄ばみの原因です。ホワイトニングの白さを保つためには、できるだけ控えることが望ましいです。
-
定期的なクリーニングと
メンテナンス歯科医院での定期的なクリーニングやメンテナンスを受けることで、ホワイトニングの効果をより長く保つことができます。
ホワイトニングの流れ
カウンセリング
まず、歯の状態やホワイトニングに対するご希望をお伺いします。ホワイトニングの種類や効果について詳しくご説明し、患者さまに最適な方法を一緒に考えます。不安や疑問がある方は、この段階でお気軽にご相談ください。
口腔内のクリーニング
ホワイトニング効果を最大限に引き出すために、歯の表面の汚れや歯石をクリーニングします。これにより、薬剤が均一に浸透しやすくなり、ムラのない仕上がりが期待できます。
ホワイトニングの施術
オフィスホワイトニングの場合は、専用の薬剤を歯の表面に塗り、光を照射して歯を白くします。ホームホワイトニングをご希望の場合は、患者さま専用のマウスピースを作製し、ご自宅での使用方法を丁寧に説明いたします。
アフターケアとメンテナンス
ホワイトニングの効果を長持ちさせるためのアドバイスや、定期的なメンテナンスについてご案内します。食事や飲み物に関する注意点もお伝えし、白さをできるだけキープできるようサポートいたします。
ホワイトニングのリスクや注意点
- ホワイトニング後に一時的に歯がしみる
「知覚過敏」の症状が出ることがあります。 - ホワイトニングの効果は、歯の色や質によって
個人差があります。 - 虫歯や歯周病がある場合、
ホワイトニングの前に治療が必要です。 - ホワイトニング後は歯が着色しやすい状態になっているため、
24時間ほどは色素が濃い飲食物は控えてください。
ホワイトニングメニュー
ホームホワイトニング
患者さま専用のマウスピースを製作し、患者さま自身がマウスピースの中にホワイトニングジェルを入れて、家で毎日一定時間装着して漂白する方法です。
オフィスホワイトニング
歯科医院にて漂白を行う方法です。歯の表面に高濃度の薬液を塗布し、光を照射して歯の着色成分を変化させることで黄ばみを改善する方法です。
デュアルホワイトニング
プロによるオフィスホワイトニング、ご自宅でのホームホワイトニングを併用することで、より高い効果を得られるホワイトニング方法です。
ホワイトニングの費用
ホームホワイトニング (マウスピース・薬剤4本) |
33,000円 |
---|---|
ホームホワイトニングジェル単品 (1本・2本・4本) |
単品1本 2,500円 単品2本 4,400円 単品4本 8,250円 |
オフィスホワイトニング 1回合計12本(上6歯・下6歯) |
33,000円 |
オフィスホワイトニング(3回セット) | 3回コース 99,000円→88,000円 |
デュアルホワイトニング (マウスピース・薬剤4本)+ オフィスホワイトニング1回合計12本 (上6歯・下6歯) |
オフィス6回+ホーム 264,000円→209,000円 オフィス3回+ホーム 132,000円→99,000円 オフィス1回+ホーム 66,000円→55,000円 |
※表示価格は全て税込価格になります。
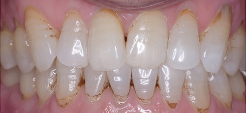
ホワイトニングの症例
ホームホワイトニングの症例
Case.1
治療前

治療後

治療費用 | 33,000円 |
---|---|
治療期間 | 2週間 |
治療リスク | 後戻りの可能性 |
※表示価格は全て税込価格になります。
Case.2
治療前

治療後

治療費用 | 33,000円 |
---|---|
治療期間 | 2週間 |
治療リスク | 後戻りの可能性 |
※表示価格は全て税込価格になります。
オフィスホワイトニングを
用いた症例
Case.1
治療前

治療後

治療費用 | 33,000円 |
---|---|
治療期間 | 1回 90分 |
治療リスク | 後戻りの可能性 |
※表示価格は全て税込価格になります。