歯周病治療
目次
- 「歯周病治療症例」ページの目次
歯周病治療を
用いた症例
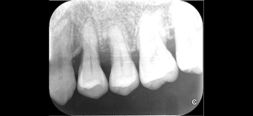
Case.1
治療前
治療後
| 担当医 | デンタルワンおおたかの森 Dr築根 |
|---|
Case.2
治療前
治療後
| 担当医 | デンタルワンおおたかの森 Dr築根 |
|---|
Case.3
治療前
治療後
| 担当医 | デンタルワンおおたかの森 Dr築根 |
|---|
Case.4
治療前
治療後
| 担当医 | デンタルワンおおたかの森 Dr築根 |
|---|
Case.5
治療前
治療後
| 担当医 | デンタルワンおおたかの森 Dr築根 |
|---|
結合組織移植術を
用いた症例
Case.1
歯茎が足りない部分への
移植外科手術
| 担当医 | デンタルワンおおたかの森 Dr築根 |
|---|---|
| 治療費用 | 下顎: 66,000円x2箇所 |
| 治療期間 | 約3ヶ月 |
| 治療リスク | 喫煙している場合には術後の治りが遅く、 移植した歯肉がうまく定着しない可能性 |
※表示価格は全て税込価格になります。
遊離歯肉移植術
(FGG)を
用いた症例
Case.1
付着歯肉が足りない部分への
移植外科手術
| 担当医 | デンタルワンおおたかの森 Dr築根 |
|---|---|
| 治療費用 | 下顎: 55,000円x1箇所 |
| 治療期間 | 約2ヶ月 |
| 治療リスク | 喫煙している場合には術後の治りが遅く、 移植した歯肉がうまく定着しない可能性 |
※一部流血画像は色彩を白黒へと変換しております。
※表示価格は全て税込価格になります。
歯周組織再生法を
用いた症例
Case.1
エムドゲイン+人工骨
| 担当医 | デンタルワンおおたかの森 Dr築根 |
|---|
症例メニュー
矯正治療
歯周病治療
審美歯科
予防歯科
虫歯治療
ホワイトニング
根管治療
親知らず抜歯
インプラント
ダイレクト
ボンディング







